
Step 1: Free Initial Consultation
Step 2: Complimentary first appointment including Implant Exam, X-Rays, and iTero scan ($350 Value)
100% secure and private

*Limited Time Offer at Participating Locations:
Step 1: Free Initial Consultation
Step 2: Complimentary first appointment including Implant Exam, X-Rays, and iTero scan ($350 Value)

Dental implants are long-lasting solutions for tooth replacement, made of titanium posts inserted into the jawbone, they mimic natural tooth roots. They not only restore smiles but also offer improved stability and functionality, making them a reliable alternative to traditional removable dentures or bridges.
Picture a life without the need to conceal your teeth or wear ill-fitting dentures. Imagine the incredible sense of freedom!
With proper care, you get lasting solutions, saving money over time compared to alternatives like bridges or dentures.
Are you ready to confidently embrace your complete set of teeth and smile without reservations?
Watch the video to learn more.

Dental implants are long-lasting solutions for tooth replacement, made of titanium posts inserted into the jawbone, they mimic natural tooth roots. They not only restore smiles but also offer improved stability and functionality, making them a reliable alternative to traditional removable dentures or bridges.
Picture a life without the need to conceal your teeth or wear ill-fitting dentures. Imagine the incredible sense of freedom!
With proper care, you get lasting solutions, saving money over time compared to alternatives like bridges or dentures.
Are you ready to confidently embrace your complete set of teeth and smile without reservations?
Watch the video to learn more.
If you are experiencing any of the following symptoms, you may be a candidate:
Drifting of Adjacent Teeth: gaps allow adjacent teeth to over-erupt and drift into the empty spaces resulting in trapped food and possible decay.
Difficulty Chewing: missing teeth make chewing difficult which can result in indigestion.
Aged Appearance and Bone Loss: youthful facial structure deteriorates due to bone resorption.
Loss of Lip Support: lips sag and tissues cave into the mouth, also making you look older.
Poor Speech: difficulty speaking, especially if front teeth are missing.


If you are experiencing any of the following symptoms, you may be a candidate:
Drifting of Adjacent Teeth: gaps allow adjacent teeth to over-erupt and drift into the empty spaces resulting in trapped food and possible decay.
Difficulty Chewing: missing teeth make chewing difficult which can result in indigestion.
Aged Appearance and Bone Loss: youthful facial structure deteriorates due to bone resorption.
Loss of Lip Support: lips sag and tissues cave into the mouth, also making you look older.
Poor Speech: difficulty speaking, especially if front teeth are missing.

Single Implants replace missing tooth root, providing functionality and aesthetics.
Form sturdy foundation for replacement tooth or prosthetic.
Ensure seamless integration into natural smile.

Dental Implants are the optimal long-term solution for multiple missing teeth.
Customized, cost-effective plan during consultation.
Reclaim confidence, smile with assurance.

Pinnacle of dental implant technology.
Supports complete set of upper or lower teeth with four strategically placed implants.
Improves stability, function, and aesthetics beyond regular dentures.

Single Implants replace missing tooth root, providing functionality and aesthetics.
Form sturdy foundation for replacement tooth or prosthetic.
Ensure seamless integration into natural smile.

Dental Implants are the optimal long-term solution for multiple missing teeth.
Customized, cost-effective plan during consultation.
Reclaim confidence, smile with assurance.

Pinnacle of dental implant technology.
Supports complete set of upper or lower teeth with four strategically placed implants.
Improves stability, function, and aesthetics beyond regular dentures.
Look and function like natural teeth
Preservation and improvement of facial structure
Long-lasting tooth replacement
Improved ability to eat and speak
Improved self-esteem and quality of life
Look and function like natural teeth
Preservation and improvement of facial structure
Long-lasting tooth replacement
Improved ability to eat and speak
Improved self-esteem and quality of life
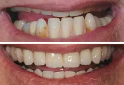
Witness remarkable transformations achieved through our dental implant procedures. Our patients have not only preserved their smiles but reclaimed their confidence, illustrating the life-changing impact of our dental implant treatments.
Witness remarkable transformations achieved through our dental implant procedures. Our patients have not only preserved their smiles but reclaimed their confidence, illustrating the life-changing impact of our dental implant treatments.

Your comfort is our priority. We tailor every visit to your individualized goals and needs.

Our patients can take advantage of our financing & payment plans with as low as 0% interest.

We can take care of general, cosmetic and specialty needs under one roof.

We ease dental anxiety with sedation options, ensuring comfort and thorough oral care.

Your comfort is our priority. We tailor every visit to your individualized goals and needs.

Our patients can take advantage of our financing & payment plans with as low as 0% interest.

We can take care of general, cosmetic and specialty needs under one roof.

We ease dental anxiety with sedation options, ensuring comfort and thorough oral care.
Dentists have used dental implants for many years, and implant technology continues to advance. Today, dental implants are sophisticated devices that highly trained professionals put in place. They’re one of the most reliable ways to replace missing teeth.
If a bone augmentation or sinus graft is unnecessary before implant placement, the subsequent procedure involves anchoring the titanium rod securely into the jawbone. The surgical process typically lasts between 1 to 2.5 hours per implant, and after completion, most implant dentists will install a temporary crown.
All-on-4 dental implants are designed to be comfortable as they do not press down on your gums as traditional dentures would. You will soon be able to bite with increased force and experience the normal sensation of enjoying hot or cold foods and all their flavors again.
In general, the cost of replacing a single tooth with a dental implant is almost the same as replacing it with a regular fixed bridge. Dental implant treatment may qualify for some insurance coverage, but situations vary. The cost will vary by patient needs, bone quantity, and region. A doctor will make an assessment based on your unique needs.
Unlike natural teeth, dental implants are not susceptible to dental disease such as decay; however, the health of the gums is vital to maintaining lasting implant success. Conscientious home care by the patient and regular professional cleanings and check-ups are essential elements for dental implant sustainability. Each patient is different, and success relies upon diagnosis and planning, medical history, and a variety of other factors.
Is all All-on-4 recovery very painful? There is a common misconception that the recovery from All-on-4 implants is very painful. This is not the case: sometimes there is a dull ache over a few days from the swelling, but the discomfort is comparatively very low compared to other surgical procedures.
Yes! We believe everyone deserves a smile they can feel confident about, without having to wait. With our flexible payment plans, you can start treatment now and pay in affordable installments. Our dental financing is fast, simple, and has high approval, with no down payment required and zero collateral. We offer competitive interest rates. 0% interest is determined based on your credit.
